診療時間 10:00~12:30/15:00~19:00
休診日月曜、祝日
※その他学会・研究会主催日は休診いたします




| 矯正法 | 舌側矯正・裏側矯正、透明で目立たない矯正 |
|---|---|
| 年代 | 20代 |
| 治療期間 | 2年8か月 |
| 性別 | 女性 |
| 歯並び | 上顎に叢生があり、噛み合わせが深く下の前歯が見えない状態 |
| 治療のリスクについて | このケースでは歯の裏側に装置が装着されておりますので,初期段階では会話時などは舌先に装置が当たって炎症が起きる場合があります.数日から1週間程度で慣れますが,最初は注意が必要です. |
| 費用 | 約82万円(税抜) ※最新の治療費については料金・コース案内よりご確認ください |
歯を抜いて矯正するのは珍しい事ではありませんが、患者さんも矯正医も出来れば抜かずに綺麗に直したいものです。
無論、どうしても必要なら抜く事も仕方ありませんが、問題は不足している隙間が「スペースは必要だけど、抜いてしまうほどではない!」場合です。
単純に考えれば「じゃ、全体的に少し奥の方へ動かせばいいじゃないか!」となりますが、矯正医の立場からすれば、技術的にはかなり困難で今までの装置ではそれほど簡単ではありませんでした。
今ある歯を全体的に動かすには、何か固定源が必要です。それをいままではヘッドギアーと呼ばれる帽子のような物を被って後頭部を固定源にして対応していましたが、大人がこれをするのは、まあ殆ど罰ゲームみたいなものです。
近年矯正用インプラントが開発され、こういったケースでも歯を抜かずに良い結果が得られるようになって参りました。
このケースでは矯正用インプラントを併用することによりヘッドギアーやエラスティックなどの自助努力なしに装置装着から撤去まで約2年2ヶ月と比較的短期間で治療することが出来ました。

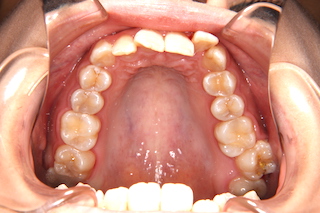
噛み合わせが深く,下の前歯が見えません!

上顎・・前歯には叢生があります

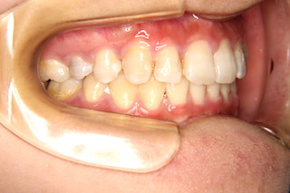
側面・・この角度でも,下の前歯は見えません

正面・・随分綺麗になって来ました!

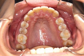
上顎・・見えない位置のインプラントで奥歯を更に奥へと動かします

側面・・上下とも歯茎のラインもそろってきました!

正面・・綺麗に並んで上下の正中も揃った事が分かります

上顎・・叢生も解消です!

側面・・奥歯の噛み合わせも綺麗になりました!
この患者様は矯正治療中にご結婚され、装置を外して2ヶ月後に無事ご出産されました。
ギリギリセーフですね。
担当医としてはご結婚、装置撤去、ご出産が数ヶ月の間に通り過ぎるという、おめでたいことのトリプルパンチでした!