診療時間 10:00~12:30/15:00~19:00
休診日月曜、祝日
※その他学会・研究会主催日は休診いたします




| お悩み | 口が閉じづらい |
|---|---|
| 矯正法 | 舌側矯正・裏側矯正、透明で目立たない矯正 |
| 年代 | 20代 |
| 治療期間 | 2年2か月 |
| 性別 | 女性 |
| 歯並び | 前歯2本が突出しているため歯列がV字型になっていて、小臼歯が生まれつき少ない。 |
| 治療のリスクについて | このケースでは歯の裏側に装置が装着されておりますので,初期段階では会話時などは舌先に装置が当たって炎症が起きる場合があります.数日から1週間程度で慣れますが,最初は注意が必要です. |
| 費用 | 約82万円(税抜) ※最新の治療費については料金・コース案内よりご確認ください |
生まれつき歯の数が少ない状態の事を先天的欠如と呼びますが、この状態は一般に皆様が想像しているよりも頻度が高く、1996年以降と統計ではおおよそ10人に1人程度の割合で発現しています。
歯の無い部分を補う方法は様々ですが、根本的な歯並びに問題がある場合は先天的欠如の解消を含めた治療方法が考えられます。
このケースでは下顎の小臼歯の欠如であり、元々が上顎前突であったため、余計に出っ歯が増長される結果となり、噛み合わせや歯並びの見た目のみならず口が閉じづらい事がお悩みの原因でした。
かなり悩んでお調べになった結果、近隣の矯正歯科を受診されたところ、生憎その医院ではリンガル矯正への対応が無かったので当院をご紹介されました。
このレベルの上顎前突になりますと、従来ならばヘッドギアーやエラスティックなどの補助手段が必須となりますが、なるべくそうした自助努力の負担を軽減するため矯正用マイクロスクリューインプラントを併用いたしました。
出来るだけ治療中も目立たないようにしたいという希望に合わせて、透明な矯正器具と舌側矯正を行っています。
下顎小臼歯2本の先天的欠如


術前の口唇

術後の口唇

正面・・前歯2本が突出しているため、隣の前歯との間に段差が出来ています

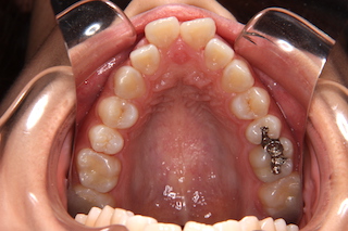
上顎・・前歯の突出で歯列がV字型になっています!

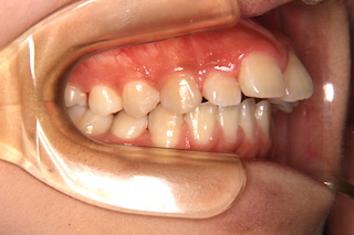
側面・・この角度からだと出っ歯の程度と、よく観察すると小臼歯が足りないことが分かります

正面・・前歯の突出はかなり改善されてきました

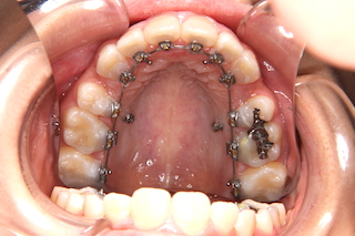
上顎・・まだスペースが残っています.インプラントがお分かりでしょうか?

側面・・出っ歯は改善されてきましたが、噛み合わせはまだまだです

正面・・前歯の移動量が大きいので歯の形が治療前とは違って見えますね!

上顎・・歯列が綺麗な馬蹄形に並びました!

側面・・噛み合わせも確立しました!
こういった顔貌改善が主なご希望で、最初の噛み合わせが比較的良好な場合、前歯の角度を改善して後退させて、かつ緊密な噛み合わせを達成することが重要です。
口元を引っ込めたおかげで口が閉じやすく,眠っているときも口が開いてしまうことが随分減ったそうです。
これは口呼吸が減少したことを意味し,虫歯や歯周疾患の予防にも大きな意味があります。