『美しい歯並び』を手に入れるということは、
美しい人生を送る事にも繋がります。
大阪市福島区で歯並びの矯正を行っている『はしもと矯正歯科』です。
野田阪神駅徒歩2分、さらに梅田からも通院しやすい立地で、
「目立たない治療を良心的なコストで!」をコンセプトに、出っ歯・受け口・叢生(乱杭)などのお悩みに対応いたします。
診療時間 10:00~12:30/15:00~19:00
休診日月曜、祝日
※その他学会・研究会主催日は休診いたします

大阪市福島区で歯並びの矯正を行っている『はしもと矯正歯科』です。
野田阪神駅徒歩2分、さらに梅田からも通院しやすい立地で、
「目立たない治療を良心的なコストで!」をコンセプトに、出っ歯・受け口・叢生(乱杭)などのお悩みに対応いたします。
Reason why Hashimoto orthodontics was chosen
しっかりと話し合う時間を設け、矯正に関する不安にお答えすると同時に、あなたに合ったお勧めの矯正プランをご提案いたします。
治療前には行う治療の内容をしっかりと説明し、患者様にご理解・ご納得いただいたうえで治療を開始しますのでご安心ください。
矯正していることを他の人に気づかれたくない人にぴったりの「白くて目立たない装置」や「歯の裏側に取り付ける装置」も取り扱っております。
当院でご提案するどのコースもリーズナブルな価格設定で、最初にご提示した費用以外の料金は発生いたしません。
「前歯だけ目立つ」「歯の間から空気が漏れてしまい滑舌が悪い」「子供の歯並びを治したい」人それぞれ十人十色の歯並びのお悩みに、
最適な矯正治療をご提案いたします。
豊富な実績と確かな技術を持った歯科医師が治療にあたりますので、安心してお任せください。
Adult orthodontic dentistry
大人だからと矯正をあきらめてはいませんか?綺麗な歯並びは、いくつになっても始められます。
Child orthodontic dentistry
お子様の歯並びが気になった時は、お早目のご相談をお勧めいたします。
現在当院では新規での小児矯正を受け付けておりません。
申し訳ございませんが何卒ご了承ください。
はしもと矯正歯科では独自の料金システムを取り入れており料金がお客様によって大幅に変動することはありません。また、同一世帯(親子、兄弟)で治療をお申込みされた方には特別な割引もございます。

こんにちは。はしもと矯正歯科 院長の橋本 公志です。
矯正治療における疑問や不安を解消できるよう、お一人お一人にお時間をかけ、なんでも丁寧に相談に乗ります。
もしあなたが歯並びのことでお困りであれば、ぜひ一度矯正専門歯科である当院までお気軽にご相談ください。
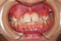
術前



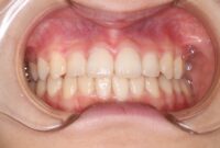
術後
