診療時間 10:00~12:30/15:00~19:00
休診日月曜、祝日
※その他学会・研究会主催日は休診いたします




| お悩み | 前歯が噛み合わず食事がしづらい |
|---|---|
| 矯正法 | 透明で目立たない矯正 |
| 年代 | 20代 |
| 治療期間 | 1年4か月 |
| 性別 | 女性 |
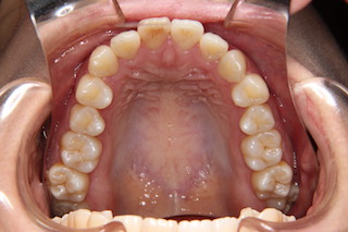
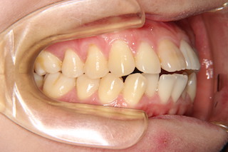
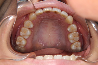
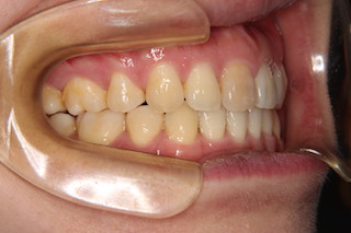
| 歯並び | 叢生はそれほどありませんが、前歯が噛み合わず出っ歯になっている状態 |
| 治療のリスクについて | このケースでは上下とも飛び出した前歯に矯正装置が装着されますので,開始当初は唇の内側に炎症が起きる場合があります.数日から1週間程度で慣れますが,開始当初は注意が必要です. |
| 費用 | 約67万円(税抜) ※最新の治療費については料金・コース案内よりご確認ください |
矯正治療を始めるきっかけは人により様々です。
直したい対象も主に「歯並びをキレイにしたい!」というのが一番ですが、それに伴って
「飛び出た口元を引っ込めたい!」であったり、「前歯でしっかりかみ切りたい!」など皆さんの動機は様々です。
我々矯正治療を行う立場としては原則的に「全ての歯をその患者様にとって一番よい位置に移動させる。それを正しく行えば歯並びも噛み合わせも横顔もみんなキレイになる」ということを行っています。
そしてかつては小中学生が行う物と思われていた矯正治療も今では成人の比率が逆転しています。
当院は梅田から急行一駅の野田阪神駅が近く、という立地からか成人矯正の比率が高く、また当たり前の様ですが女性の比率が高いです。
そして成人女性が多いという事は、その方が奥様であったりお母様であったりすることもままあります。
この患者様は、お子様の出産を終え、3才になって一段落したので矯正治療の開始を決められました。
近年はお子様より先にお母様が矯正患者様になる機会が増えて参りました。
お子様が開始されるとき、お母様が矯正の経験者でいらっしゃいますと、お子様にとっては誰より心強くて身近なアドバイザーになって頂けます。

術前の口唇

術後の口唇
口元の改善が著明です。

正面・・叢生はそれほどありませんが、前歯が噛み合わないので、前歯が生えてきた当時の尖端のギザギザが残っています。

上顎・・虫歯の殆ど無い綺麗な歯です。ですから出っ歯になっているのはもったいないですね

側面・・奥歯の噛み合わせは悪くありませんが、上下とも前歯が飛び出しているので前歯では噛み合いません

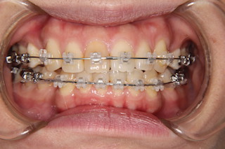
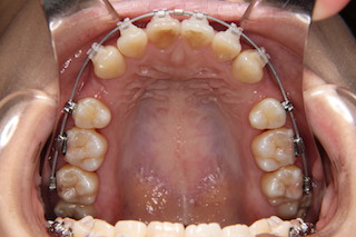
正面・・前歯も噛み合わせに参加です!

上顎・・前歯は少し下がりましたが、まだまだこれから

側面・・これから隙間を使ってもっと下げて行きます!

正面・・前歯の噛み合わせ,対称性もバッチリです!

上顎・・キレイなアーチになりました!

側面・・前後とも噛み合わせが決まりました!
このケースでは顔貌改善もさることながら、前歯が噛み合わず食事がしづらいということが矯正治療における大きなテーマでした。
また治療中に2人目のお子様を妊娠され、治療途中で期限が切られましたが、ご出産までに無事終えることができました。
出産後に術後資料を作成しました。
一緒に通ってくれた上のお子様も「いつかママみたいにキレイになりたい!」と言ってくれました。
数年後に仲間入りかもしれませんね!