診療時間 10:00~12:30/15:00~19:00
休診日月曜、祝日
※その他学会・研究会主催日は休診いたします




| お悩み | 歯並びが気になる |
|---|---|
| 矯正法 | 透明で目立たない矯正 |
| 年代 | 30代 |
| 治療開始年齢 | 26y10m |
| 治療期間 | 23ヶ月 |
| 性別 | 女性 |
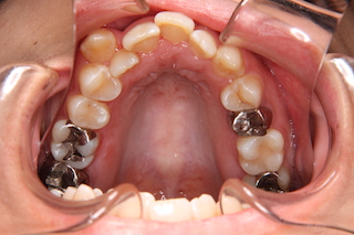
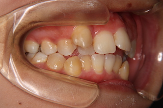
| 歯並び | 前歯の叢生が著明で八重歯もある状態 |
| 治療のリスクについて | このケースでは上下とも飛び出した前歯に矯正装置が装着されますので,開始当初は唇の内側に炎症が起きる場合があります.数日から1週間程度で慣れますが,開始当初は注意が必要です. |
| 費用 | 約67万円(税抜) ※最新の治療費については料金・コース案内よりご確認ください |
成人から矯正治療を行う場合、開始時点ですでに一部の歯が虫歯などの治療が為されている場合があります。
小さな虫歯で少し詰めてある位なら問題ありませんが、既に神経が取られ、全体に被せ物がされていると、外見上もいわゆる「銀歯」となり、矯正以前にその歯自体の今後の耐久性にも疑問が生じます。
そういった場合で抜歯ケースの場合、矯正学的に最適な抜歯対象の歯が銀歯なら問題ありませんが、隣の歯が対象歯でかつ虫歯治療の既往がない場合、無傷の歯を抜歯することはためらわれますので、銀歯を抜歯しようとします。そうなって参りますと排列に特別な工夫が必要になります。
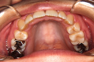
このケースでは初診の時点で数年前虫歯で左上の第二小臼歯が銀歯になっていました。
しかし通常の矯正診断上、抜歯対象は第一小臼歯です。
従って銀歯の第二小臼歯を抜歯して無傷の歯を残しました。
こういった左右が非対称な場合、左右が同等に治療が進行しないため、特別な配慮が必要です。
したがって上顎にはインプラントを併用して治療を行いました。
なお当院ではこういったインプラントや補助装置を併用しても追加費用は必要ありません。

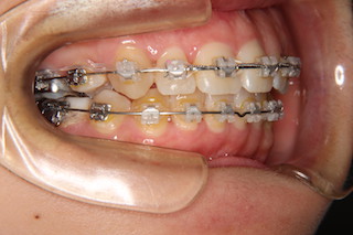
正面・・前歯の叢生が著明です

上顎・・左側の第二小臼歯が銀歯です

側面・・完全に八重歯の状態

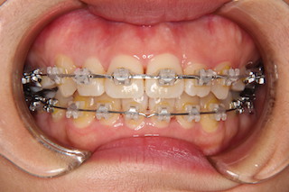
正面・・ほぼ並んで来ました

上顎・・銀歯がなくなりスッキリしています

側面・・八重歯も解消です

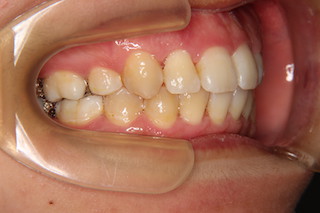
正面・・すっかり綺麗な状態です!

上顎・・銀歯が前から見えなくなりました

側面・・八重歯もなくなり噛み合わせもバッチリです!
小さなお子様がいらっしゃり、旦那様が子守の出来る日曜日の通院ができる矯正歯科を探してホームページで見てお問い合わせをいただきました。
出来るだけ治療中も目立たないようにしたいという希望に合わせて、透明な矯正器具で治療を行っています。